審美治療

詰め物と被せ物について

詰め物と被せ物について

虫歯の治療で歯を削った後は、詰め物や被せ物を入れることになります。これらを作る時はいくつもの素材や構造の選択肢があり、自費診療であれば白くて自然な色合いに仕上げることも可能です。

オールセラミックとメタルボンド

当院がおすすめしているのは、オールセラミックとメタルボンドです。 オールセラミックはその名の通り、セラミック(陶器)のみで作られており、審美性が高く、金属アレルギーの心配もありません。メタルボンドは、内側に金属を使い、その上にセラミックを焼き付けたものです。金属を使っているため通常は透明感がなくなり、審美性が低下しますが、当院では信頼できる技工士さんに製作を依頼することでオールセラミックと同じ仕上がりを実現しています。
治療する歯の位置などによってオールセラミックかメタルボンドのどちらが適切かは分かれますが、ほとんど同じような仕上がりになるため、当院では費用も同じに設定しています。

技工士との連携

詰め物や被せ物は、歯科技工士と呼ばれる専門家に製作を依頼します。しかし、技工士さんによって技術にバラつきがあるため、治療がどこまできれいに仕上がるかは、治療を受ける歯科医院によって異なることになります(歯科医院によって依頼している技工士さんは違います)。当院は、本当に技術力が高く信頼できる技工士さんにのみ依頼して、単に歯の人工物を作るのではなく、患者さんの他の歯のすり減り方や年齢などに合わせて、適切なものをお作りすることを目指しています。

ホワイトニング

ホワイトニングは、患者さんの歯を白くするための方法で、当院ではご自宅でマウスピースを使って少しずつ歯を白くしていく「ホームホワイトニング」を取り扱っています。歯は白ければきれいに見えるというわけではなく、全体の調和や、患者さんの年齢や肌の色などにも合わせていくことが重要です。そのため、治療で歯を削る時に、ホワイトニングで他の歯を白くして、その色に合わせて被せ物を作るなど、歯全体の審美性を考えるようにしています。

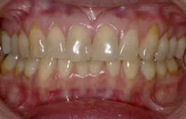
審美治療(ホワイトニング) 治療例

  • 治療前

    審美治療(ホワイトニング) 治療例

  • 治療後

    審美治療(ホワイトニング) 治療例

オールセラミックのメリット・デメリット

メリット

適合性が高い

以前は、症例によってはメタルボンドのほうが適合性が高い場合もありましたが、技術の進歩により、現在はすべての症例でオールセラミックでの対応が可能となりました。現在、当院ではメタルボンドの取り扱いをしておりません。

審美性が高い

オールセラミックは天然歯に近い色調が表現できます。また、当院の歯科技工士の技術力から、ほかの自然歯との適合性もよく、審美性が高いことが特徴です。

口腔内スキャナーを導入

新たに口腔内スキャナーを導入し、仕上がりの精度が高くなりました。また、ゴムでの型取りが不要になり、患者さんは面倒な型取りの負担から解放されました。

金属アレルギーと無縁

オールセラミックは金属ではないので、金属アレルギーのある人も安心して治療を受けることができます。

デメリット

破折のリスク

金属のかぶせものに比べて、組み合わせによっては破折のリスクが存在します。 破折のリスクを防ぐために、ナイトガードとしてマウスピースを製作していただく場合もあります。

ホワイトニングのメリット・デメリット

メリット

歯科医院の高い技術

ホワイトニングは、歯茎が安定していないと仕上がりが不均一になる可能性があります。当院では、歯科医院として歯茎の状態を確認し、問題がある場合は歯茎を安定させてからホワイトニングに移行します。

安心安全の薬剤

当院では、安全で知覚過敏リスクの少ないホワイニトングの薬剤を使用しています。ですから安心してお使いいただけます。

マウスピースへのこだわり

当院のホワイトニングは、マウスピースの適合性にこだわっています。マウスピースが適合していないと薬液が流れ出てしまい、もっとも色を白くしたい歯茎のきわの色が、あまり変わらなくなってしまいます。

術前術後の確認

ホワイトニングは効果がある施術ですが、視覚的な“慣れ”が、効果を感じさせない場合があります。当院では術前の写真を撮影し、仕上がりの変化を確認していただけます。

たんねんな施術前のレクチャー

当院では、ホワイトニングは基本的にホームホワイトニングで行っていただいております。
ホームホワイトニングは、ご自宅で行っていただきます。そのため、ご自身での施術に不安感のある方もいらっしゃいますが、施術前にはていねいな事前レクチャーを行いますので、安心して施術していただけます。

オフィスホワイトニングにも対応

当院では、基本的にホワイトニングはホームホワイトニングで行っていただいております。ただし、1本だけの変色をホワイトニングする場合などは、オフィスホワイトニングをおすすめしています。

デメリット

自分で施術するのが面倒

ホームホワイトニングはご自宅で行っていただくため、自分で施術することが面倒だと感じる場合があります。

マウスピースに違和感を覚える場合も

ホワイトニングにはマウスピースに薬液を入れて装着する必要があり、マウスピースに違和感を覚える場合もあります。ただし、多くの場合は使用し続ける間に慣れてきます。

効果は時間とともに薄れる

ホワイトニングの効果は時間とともに薄れるため、定期的に再ホワイトニングし、メンテナンスをする必要があります。

CONTACTお問い合わせはお気軽に

大森で歯科・歯医者をお探しの際は、
尾﨑歯科医院までお気軽にお問い合わせください。