虫歯治療
お口全体のことを考えた治療を

歯は、全体のバランスで成り立っており、口腔内の環境も共有しています。そのため一部分だけ治しても、またすぐに別のところが悪くなってしまいます。
当院では、お口全体のことを考え、しっかりと時間をかけて長期的に健康な状態を保つための治療に力を入れています。どうしても急ぎで応急処置が必要な方にはもちろん対応していますが、基本的には一口腔単位で考え、お口の中全体を改善していくことを目指します。
もちろん、不必要な治療を押しつけるようなことは一切ありませんのでご安心ください。
できるだけ痛みを抑えるための工夫
麻酔を打つ時の痛みが気になるという方は多いと思いますが、実は麻酔の注射は技術と工夫によってかなり痛みを軽減することができます。
例えば、針を刺す場所や方向によって痛みを感じにくくする事ができます。当院では細い針を使用し、麻酔液を人肌程度に温めることで注入時の刺激を減らしています。
虫歯の染め出し液を使用
虫歯の治療を受けたばかりなのに、またすぐに痛くなってしまった…。そんな方は虫歯が取りきれていない状態で詰め物や被せ物をしてしまっている可能性があります。
当院では、そういったことがないよう虫歯を染める液を使用して虫歯の取り残しをなくし、また必要最低限な部分しか削らないような治療を行なっております。
歯周病治療
成人のほとんどが歯周病になっている!?

歯周病は、細菌によって歯を支えている土台、つまり歯茎や顎の骨がダメージを受けてしまう病気です。成人の8割は歯周病になっていると言われており、歯を失う最も大きな原因にもなっています。実際に診療を行っていても、程度の差こそあれ、ほぼ全員が歯周病になっていると言えるような状況です。
お子さんの頃、虫歯にならなかった方も、大人になってから歯周病になるということは珍しくありません。全員が自分の問題として歯周病の怖さを認識し、継続的にケアしていきましょう。
溶けた骨を再生する治療
歯周病によって溶けてしまった顎の骨は、基本的には元に戻りません。しかし、近年は歯を作るための材料を外から足してあげることで、再生できるようになってきました。
当院でも歯周病によって失われた骨の治療を行っていますので、他で「これはもう治らない」と言われた場合でも、諦めずにご相談にいらしてください。
歯周形成外科治療
歯周組織再生療法
現在では、歯周病により失われた骨を再生することが出来るようになりました。
抗菌療法
現在では細菌検査によって歯周病原菌の有無を調べることが出来るようになりました。抗菌療法は、通常の歯周病の治療に加え、これらの病原菌に効果のあるお薬を服用していただき治療する方法です。
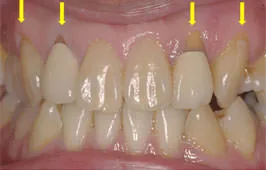
初診時

歯周組織の急性症状により来院されました。細菌検査により悪性の歯周病原因菌(P.gingivalis)が高い割合で検出されたため、抗菌療法を併用し初期治療を行いました。
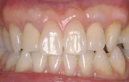
初期治療終了時

歯周形成外科治療
歯周形成外科治療では、歯茎がやせて歯が長く見える、笑うと歯茎が目立つ、歯茎の位置がそろっていない、歯茎の色が黒い、などの状態を改善させることができます。このような症状でお悩みの方はご相談ください。※自費診療となります。
歯周形成外科 治療例01
Before

根面被覆術治療例
After

根面被覆を行うことにより知覚過敏の症状が回復しました。
歯槽堤増大術
Before

After

抜歯後の骨吸収によりこのままブリッジを入れてしまうとこの部位だけ歯が長くなってしまい清掃性、審美性共に不良なものになってしまう。組織を移植することにより歯茎の形態を改善させ理想的な形態のブリッジを装着することが出来ました。
予防治療
まずは一度、専門家に相談するところから
これまで虫歯ができず、歯医者さんに通う機会のなかった方は、自分の歯は健康で問題ないと思っていることがほとんどです。しかし実際には、歯周病によって歯を支えている骨が溶けていき、気がついた時には複数の歯を失ってしまうことが多々起きています。
テレビやインターネットにもいろいろな歯の健康に関する情報がありますが、まずは実際に自分の歯を専門家である歯科医師に見てもらうのがおすすめです。そうすることでご自身の歯の健康リスクが明らかになり、適切な予防措置を講じることができるようになります。
定期的な検診とクリーニングで、自分の歯を守る

これまで虫歯にならなかった方も、虫歯で歯の治療を受けた方も、3ヶ月〜1年に一度は歯科検診を受け、歯ブラシでは取りきれない汚れを院内の器具で除去してもらうようにしましょう。
また、この時、実際にご自身が使っている歯磨きをご持参いただき、磨き残しを染め出す液も使いながら歯磨きのアドバイスをさせていただきます。さらに、歯ブラシだけでは、歯と歯の間にある汚れが取れないため、歯間ブラシを使う必要があります。
エアフローで、効果的にお口の中をお掃除
当院のクリーニングでは、エアフローと呼ばれる装置を使用しています。これは、細かな粒子を歯に吹き付けることで汚れを取り除くものです。 当院が導入しているエアフローで、歯周ポケット(歯と歯茎の間にある隙間)のお掃除も可能です。定期的にクリーニングすれば、着色汚れが落ちるため見た目もきれいになり、衛生的な口腔内環境ができて歯周病の予防にも繋がります。
口腔外科(親知らずの抜歯)

親知らずは、痛みや腫れを引き起こすだけでなく、隣に生えている歯を押して歯並びを悪くしてしまうこともあります。親知らずが生えてきた方は、早めにご相談ください。当院は歯科用CTを導入していますので、立体画像を使ってより正確な診断が可能です。
※親知らず以外のことでも、お口の中の出来物、腫瘍、外傷などでお困りのことがありましたらお気軽にご相談ください。必要があれば、連携先の病院をご紹介させていただくこともできます。
顎関節症の治療
顎関節症になった時は、まず原因を明らかにすることが重要です。そのため当院では、まずマウススプリント(マウスピース)を使って顎の関節を安定させ、これによって骨格に問題があるのか、歯に異常があるのか、治療で入れた被せ物が合っていないのかなどを見極めていきます。
お口を開けた時に痛みや音が出る方は、一度ご相談ください。








